
作業者目線の使いやすさとコスト削減を考えたオープンソフトウェア
DIGISTELLは、3Dデジタル技術と歯科技工士の経験をもとに開発されたパーシャルデンチャー用フレーム設計CADソフトです。既存のオープンスキャナー※に接続し、簡単にラボ環境に統合することが可能です。強力なライブラリー編集機能と操作性により自由な設計ができ、設計工程の作業効率を大幅にアップできます。さらに、デジタル設計のため複模型製作の省略、フレームの複数同時キャストで時間と材料コストも削減します。
※STL出力
作業の流れ

1 模型をスキャン

2 スキャンデータをインポート

3 2方向からの画面でアンダーカットを確認しながらサベイング

4 ワンクリックでブロックアウト

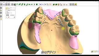
5 アイコン表示されたわかりやすいツール選択によりデザイン

6 完成データをSTLデータでエクスポート
DIGISTELLオリジナル機能

シンメトリー
片側に描記したラインが自動的に反対側に左右対称に表示されます。

マジックペン
模型に描いた鉛筆ラインを認識して設計線を自動でデザイン。
クリックした2点間を鉛筆ラインに沿って設計線を描画します。
DIGISTELL動作環境
OS Windows10 Pro
CPU intel Core i7-9700 以上
メモリ容量 16GB以上
起動ドライブ 1TB SSD 以上
グラフィック NVIDIA GeForce RTX 2060 以上
■推奨3Dマウス(別売)
3D CONNEXION社:SpaxeMouce Compact
3Dマウスを使うことでデザイン操作がよりスムーズに行えます





